-
在台大醫院接受微創正前開人工髖關節置換(DAA)流程及常見問題_202606
複製連結
前言
微創正前開(DAA)人工髖關節置換從肌肉的間隙中進行,不需切斷肌肉,旨在最微小創傷下完成人工髖關節置換,其最明顯的優點是
- 術後恢復快速
- 較輕微之疼痛
- 術後不需要動作限制
正前開的優勢明顯,美國髖膝關節手術學會 (AAHKS)的醫師調查,在此專做髖膝關節手術的醫師群體,所執行初次置換人工髖關節的患者,已經高達約7成是以正前開方式進行。
.jpg)
這份衛教指南旨在協助患者了解在台大醫院接受「微創正前開人工髖關節置換手術」的流程。接受手術患者及家屬難免會擔心和有很多疑問,本流程說明希望能讓患者更了解從門診到術後復健的整個過程。醫療團隊除了精準地為患者換上人工髖關節,也透過先進的止痛技術與循序漸進的復健計畫,幫助患者在術後快速重拾行動力,回歸生活與運動。
骨科門診
1. 告知患者及討論髖關節是否可以保存,本院骨科團隊是最積極保存髖關節的骨科團隊之一,希望能讓患者持續使用自己的髖關節,在早期髖關節炎保存髖關節的效果很好,晚期髖關節炎在部分需要劇烈運動的患者保存也有其價值,在確認使用人工髖關節增進功能前,本院團隊會與患者討論髖關節是否有保存之可能及需要。
2. X光: 接受下肢全長片及含比例尺金屬球之骨盆x光(如下系列圖),本院不論影像系統如何更換,十數年來持續堅持不惜數百萬之成本購買各種術前計畫軟體,可以在手術前預先得知最適合患者的人工髖關節型號、大小及擺放位置,術中只需微調,配合正前開方式可以將長短腳風險降到最低,並讓患者有最接近原生髖關節的感受。
DAA術前含比例尺金屬球之x光,原本左腳略短
術前計畫
執行成果,腳長一致。3. 討論使用之材質: 全健保材質在文獻中已可以讓8成患者使用超過20年,但如果有運動或長距離行走需求,建議以陶瓷球頭取代金屬股球頭,可大幅降低磨耗,其餘更耐磨之維他命E墊片、陶瓷墊片及降低脫臼風險之雙動式人工髖關節,可在門診與主治醫師討論有無使用之必要,可參考以下示意圖。

4. 確認有無需停藥之藥物: 常見包括抗凝血劑、抗血小板藥物、部分糖尿病用藥(SGLT2)…等,需停藥2-5天不等,團隊會跟患者確認,患者也可以主動告知。
5. 確認接受微創正前開人工髖關節手術: 除常見之退化性髖關節炎、髖發育不全合併末期關節炎、骨壞死、自體免疫關節炎外,髖臼或股骨創傷後關節炎、小兒麻痺、重症肌無力、罕病、肥胖…等患者在本院均可安全接受本手術,除極度特殊如嚴重骨骼變形或病態性肥胖個案,在安全考量下,常規執行正前開之醫師才會建議患者接受其他手術方式。
6. 建議戒菸至少至術後六週減少感染及骨整合不良風險。嚴重骨鬆患者有時會建議先使用骨生成藥物治療2-3個月再進行手術可降低相關併發症風險。
7. 手術時間之安排: 總醫師或醫師助理會跟患者約好方便接受手術之時間。
住院

1. 住院報到會接受抽血、心電圖、胸部及額外需要之X光,護理師們會詢問患者們的基本資料及病史,提供醫療團隊術前評估之所需資料。
2. 麻醉諮詢: 麻醉科醫師會探訪患者或請患者到麻醉諮詢診間討論麻醉事宜,不論是全身麻醉、半身麻醉、硬膜外麻醉或腰方肌神經阻斷…等麻醉方式,本院均有達成手術後隔天出院之紀錄。麻醉團隊會考慮患者的需求及條件提供相對應之麻醉方式,術後自控式止痛以硬膜外及神經阻斷為主,可以在不影響肌肉功能、減少頭暈風險以及在患者自己的控制下最小化疼痛。
3. 主治醫師訪視: 在手術前確認細節及讓患者詢問有疑慮的地方,做最後確認。
4. 住院醫師訪視: 住院醫師平日多數情況下會在手術房協助手術進行,所以訪視患者的時間較不一定,但會提供患者手術同意書等相關文件,有疑慮可以提出,住院醫師們的專業多數均可回答,或會請主治醫師回覆。
5. 除非有另外說明,多數患者於午夜禁食,接受早期康復流程患者,部分於手術前可能會被指示飲用運動飲料或糖水,本院團隊提供的多模態止痛流程亦可能要求患者在手術前服用特定藥物減少術後疼痛。
6. 建議開刀時有家屬陪伴,無法家人陪伴者醫療團隊會請患者簽一份同意書,在患者仍處於麻醉時,若臨時有重大決定(機率極低),讓家人或醫療團隊,考量患者最大利益,為患者做決定。
7. 進入開刀房外勤後,仍需一定等待時間,待消毒完成及團隊就位後,會由醫護人員帶患者進入手術室,麻醉團隊在經過10分鐘到一小時不等之麻醉後,骨科團隊即會開始執行患者的手術。
手術
1. 正前開方式要從肌肉間隙執行手術,手術時間劃刀到關好皮膚(非僅是裝好人工關節)可以從1小時至兩小時半不等,和傳統微創手術直接切斷肌肉的方式差不多或略久,肥胖、肌肉壯碩、嚴重骨鬆需使用骨水泥、過去同部位執行過其他手術的患者可能手術需時較久。
2. 傷口約8-10公分,身高超過190公分或肥胖患者傷口可能略大以利安全植入人工髖關節。
3. 參考術前計畫,加上術中測試關節穩定度及比較腳長等資訊,選擇合適大小及型號的人工髖關節。
4. 手術醫師會在關節囊周邊進行雞尾酒止痛藥物注射及神經阻斷(PENG),可以大幅下降患者術後疼痛,讓患者可以快速下床行走。
5. 自麻醉醒來過程每位患者時間不一,可能從10分到45分鐘不等,待患者安全自主呼吸後會將患者送至恢復室,並讓家屬看看患者,醫療團隊也會跟家屬說明(絕大多數是手術順利
)。 
手術後回到病房
1. 醫療團隊會告知患者可以進食的時間。
2. 待患者肌肉會恢復力氣後,主治醫師或醫療團隊會帶患者下床練習走路,初期要確認麻醉已完全退去,會建議坐在床沿約20秒後再站立,站立約20秒後不會頭暈再行走,確保患者可以安全行走,一般術後約4~18小時,也就是當天或隔天早上會讓患者下床走路,依退麻醉程度及肌肉自神經阻斷術恢復的狀況決定。
3. 接受正前開的患者術後沒有動作限制,側躺、翻身、腿交叉、坐馬桶或矮沙發都是可以的。

4. 術後第一個工作天物理治療團隊會探訪患者,教患者復健動作及確認患者正確行走,若居家環境需要爬樓梯,物理治療師們會帶患者上下樓梯,確認無虞後即達到出院目標。
5. 手術傷口如使用皮膚凝膠,隔天即可沖澡,需避免戳洗傷口,請直接沖過去即可,洗澡後以按壓方式壓乾傷口,再蓋上紗布或敷料,傷口外的敷料是避免傷口和皮膚摩擦,一週後即不須覆蓋任何敷料。
6. 出院目標完全依患者居家環境設立,如只須走平路,患者可在病房走廊行走自如即達到,如需上下樓梯,則在物理治療師確認患者上下樓梯無虞後即達到,通常在術後1-2天達標,確切的出院時間可依患者家人安排方便和醫療團隊討論後決定。術後復健流程如下。

出院後

1. 助行器或拐杖建議2-3週,雖然大部分患者都可以不拿拐杖走,但為了安全會建議患者使用輔具2-3週,確認患者習慣新的關節後再放開。
2. 術後 2-6 週,提升體能:建議每日早晚在陪伴下外出行走,並持續進行物理治療團隊指導之運動,如有額外需求,可至本院或家裡附近的物理治療診所/復健科診所在物理治療師指導下持續進行復健。
3. 術後6-8週: 可恢復慢跑、游泳、騎腳踏車等活動,循序漸進增加強度。
4. 術後三個月: 可開始回歸正常生活,一般出國旅遊、爬山健行、重訓等是可以安全進行的。較劇烈但不與人碰撞、不易跌倒的的運動可在指導下進行,但原本風險就較高之運動如滑雪或容易碰撞跌倒的運動如籃球比賽等需考量風險及自身能力,除特殊狀況外,一般建議避免高風險運動。
恢復期的生活習慣與飲食建議
1. 建議正常飲食並多攝取魚肉、雞肉、蛋類、牛奶等優質蛋白質。這不僅能促進傷口癒合,更是高齡「肌少症」患者的必要習慣。
2. 更年期女性與 70 歲以上男性應額外補充鈣質與維生素 D3。
3. 骨鬆患者要持續接受追蹤治療。
常見問題
Q:手術後可以坐一般轎車或休旅車回家嗎?
A : 可以
Q:手術後我可以開車嗎?
A:在台灣行車環境,若手術的是左腳且為自排車,通常 1-2 週即可。若是右腳,建議等至少4週,待油門及煞車反應力恢復後再上路較安全。
Q: 我可以側睡嗎?
A:可以。正前開手術對睡眠姿勢限制較少,平常怎麼睡就怎麼睡。
Q發生下列狀況怎麼辦 (不一定會發生且多數自行緩解)
- 腫脹
- : 因循環變慢所致,通常在下午較明顯。建議 抬高患肢,並多做「 腳板上下運動 (腳踝幫浦運動)」與「 小腿肌肉按摩 」來促進消腫。
- 瘀血
- : 血水往淺層滲透所致,可能延伸至臀部或膝蓋,乾燥傷口不需理會,會自然吸收。
- 大腿外側皮膚麻木
- : 因大腿外側皮神經受手術牽拉或腫脹影響,屬單純感覺異常,不影響運動功能,約數週至數月後恢復
以下狀況發生機率極低,但若出現須盡快返診:
-異常紅腫熱痛: 傷口處突然變得非常燙或劇痛。
-持續滲液: 傷口處流出膿水或異味液體。
-小腿腫脹: 單側小腿明顯壓痛、發紫(疑似血栓)。
-無法負重: 突然無法支撐重量或感到關節異常滑動。
結語:精準醫療及醫病合作成就自在生活
良好執行的微創正前開人工髖關節置換手術(DAA)、精密的術前計畫及多模態止痛,配合術後復健讓患者可以自髖關節置換手術快速恢復,快速下床走路復健及縮短住院時間,恢復後最終得以重新享受旅遊與運動的樂趣。本流程說明希望能釐清患者及家屬於治療過程中大部分的疑慮,就醫過程有疑慮可與主治醫師討論,選擇最適合的治療計畫。
.jpg)
(作者:李嘉哲 醫師)
(版權所有---台大醫院骨科部)
-
完整髖關節疾患治療策略: 髖關節保存 (保髖)及人工髖關節置換_202502 (NEW)
複製連結
髖關節保存治療是指用各種方法讓自身可能有解剖異常或各類疾患的髖關節可以達到最長之使用年限及較佳功能,延後或避免人工髖關節置換,常見目標疾病為髖臼發育不全(developmental dysplasia of hip, DDH)、股骨頭壞死 (osteonecrosis)、股髖夾擠(femoroacetabular impingement, FAI)…等。
髖臼發育不全會使髖關節炎較早發生,可能讓患者年輕或中年時就進展到需要置換人工關節的程度,一輩子有可能要再置換不只一次。在青少年及成人的髖臼發育不全,在症狀剛開始出現甚至未出現時,如果物理治療及止痛藥無效,及早使用髖臼周邊矯正截骨治療(periacetabular osteotomy, PAO),可延長髖關節的使用年限,依關節炎程度,在最早期校正可使8成患者髖關節免於人工關節置換超過20年,部分患者有機會終身不需置換人工髖關節。PAO為成熟且已被長期驗證的保髖手術技術,已成為早期治療髖臼發育不全的首選,台大醫院髖關節保存團隊成功建立標準化的手術步驟,至2024年已完成超過300例成人髖臼發育不全的PAO保髖手術領先全台,並致力於推廣及教學,有多位合作醫院之主治醫師、研修醫師或總醫師來本院觀摩學習(包含林口長庚、三軍總醫院、台中榮總、中國醫藥大學附設醫院、雙和、輔大醫院、新竹台大、台北慈濟、花蓮慈濟、部立桃園醫院、中山、亞東、嘉基、義大醫院、新光、…等),團隊並至全台多間友院協助手術或進行手術示範。至此已成功改善許多患者生活品質,免去早期置換髖關節之命運,改善生活品質及運動功能。
股髖夾擠症候群也會加速髖關節炎惡化,導致關節唇破裂,導致疼痛並影響日常生活及運動功能,對於物理治療等非手術治療無效的患者,本院以髖關節鏡、微創前開及手術髖脫臼等處理方式來應對各種股髖夾擠型態、變形嚴重度及程度不一的關節唇破損,來改善疼痛、關節活動度及生活品質。
股骨頭骨壞死在關節面崩塌前可嘗試及合併許多治療方式,非手術治療如震波、骨鬆藥物、高壓氧…等,關節保存的手術方式為手術減壓、矯正截骨手術等方式來保存髖關節,但關節面一旦崩塌,關節保存治療的效果較差,常規治療為人工髖關節置換手術。
在各種原因導致之晚期髖關節炎,髖關節置換為一經長期驗證之手術,在關節醫材持續進步下,即使使用全健保材質,文獻顯示8成患者也可使用超過20年,陶瓷股骨頭及耐磨墊片的發展,也讓磨耗導致之無菌性鬆脫風險及脫臼風險(使用較大人工股骨頭)下降,而正前開手術方式從肌肉間隙進行關節置換手術,不切斷肌肉,手術時間與傳統微創手術差不多或略久,但可加速患者恢復,常規患者可於手術當天或隔天下床練習走路,術後亦不需有動作限制,近年已逐漸成為初次髖關節置換的主流手術方式之一,在無法保存髖關節的患者,本部部分醫師也常規以正前開方式進行人工髖關節置換手術,來加速患者復原及避免早期動作限制之不便,而人工關節置換的長期結果各種手術方式無明顯差異。
應對各種髖關節疾患,從關節炎早期到晚期,依照患者病情,可以選擇各種保髖治療到人工髖關節置換,可依病情,參酌自身生活方式及期待,與主治醫師討論治療策略。
(作者:李嘉哲醫師)
(版權所有---台大醫院骨科部)
-
關於股骨頭骨骺生長板滑脫症_202304
複製連結
關於股骨頭骨骺生長板滑脫症
何謂股骨頭骨骺生長板滑脫症 (Slipped capital femoral epiphysis, SCFE)
「股骨頭骨骺滑脫症」是個很難念的病名,實際上是按英文字面的翻譯slipped capital femoral epiphysis,又簡稱SCFE。股骨頭骨骺滑脫是一種發生於青少年的髖關節疾病,發生率大約每10萬人有10位個案。好發年紀在11-16歲,發生的原因是近青春期生長快速,此時生長板較厚也脆弱,如果病童「體重過重」或「活動力過人」,就可能造成生長板鬆動分離,導致在上方的骨骺滑脫,有點類似近端股骨頭經生長板的骨折。男生比女生容易發生,比率約 2:1.4, 約有25%患者會併發兩側病灶。
肥胖的青少年特別容易罹患
肥胖是最顯著的危險因子
內分泌疾病如:甲狀腺低下、生長激素缺乏須接受生長激素注射
唐氏症
髖臼或股骨頸結構後傾
股骨頸接受過放射線治療
臨床常見症狀
股骨頭骨骺滑脫症症狀包含:鼠蹊部疼痛 (groin pain)、跛腳、長短腿、髖關節活動受限、嚴重時無法負重行走,有部分的人疼痛表現會延伸至大腿內側或是膝關節。因典型的股骨頭骨骺滑脫時,骨骺會往關節的後下方移位,而股骨頸因結構前傾(anteversion)的關係,使大腿骨易轉為外旋,所以病童走路或平躺時會呈現外八姿勢。臨床上按發作時可否負荷體重,將病人分為穩定型(stable)或不穩定型(unstable)。不穩定型未來發生股骨頭缺血性壞死的機率比穩定型高出許多。另一種分類法是依據發病時間: 1.)急性(acute) ≦3週2.)慢性(chronic)為≧3週 3.)還有一種在慢性期急遽惡化的(acute on chronic)。
鑑別診斷
細菌性髖關節炎
髖關節滑膜炎
Legg-Calve-Perthes disease兒童股骨頭缺血性壞死
髖臼骨折
診斷與手術治療方式
股骨頭骨骺生長板滑脫症的影像診斷,主要以骨盆X光的前後照與蛙腿外展姿勢兩種(圖一&圖二)。影像上可看見骨骺向髖臼後下方移位,並與股骨頸形成夾角。如果X光不明顯,但症狀懷疑的話,可以藉由核磁共振或電腦斷層觀察是否有其他骨骼結構異常的問題,來增加診斷的準確度。
急性期
一旦確認骨骺滑脫,唯一的治療方式是手術。術中麻醉下會先牽引,加上股骨內旋姿勢,將滑脫的骨骺生長板儘可能復位。接著在手術室X光機輔助下,經皮小傷口植入一至二根骨釘固定。一般在急性期,手術應避免打開髖關節囊去做開放性復位。因為股骨頭血管脆弱,復位過程中可能造成血管受損,影響股骨頭血液供應,發生股骨頭缺血性壞死併發症,反而得不償失。因過去研究指出,單側有過滑脫的病人有25~50%的機率會有對側滑脫的狀況。如果病童有上述的危險因子存在,文獻上建議同時在對側做預防性的螺釘固定手術,以防止後續移位。(圖三)
後期
骨骺滑脫經急性期螺釘固定治療穩定後,可能因當初無法完全復位,使得近端股骨頭產生次發性橢圓變形或近股骨頸交界處形成突起(bump)。這些骨骼變形可能產生股骨髖臼夾擊症(femoroacetabular impingement),而影響髖關節的活動角度,產生疼痛。在這種情況下,我們可以透過第二階段的手術,去做股骨頭整形(osteochondroplasty)或是近端股骨的轉位矯正(proximal femoral osteotomy)手術來改善髖關節的磨合,延遲髖關節炎的發生。

術後照護與併發症
手術治療完成後病童須使用柺杖或助行器1-2個月,隨著近端股骨生長板黏合復原,可漸進式恢復活動。因腿部及臀部肌群的強化對預後有正面影響,因此可配合物理治療師訂定完整的復健運動療程。
股骨頭骨骺生長板滑脫的併發症,最擔心就是滑脫過程中拉扯供應股骨頭的血管而發生股骨頭缺血性壞死,使股骨頭變形,髖關節僵硬,提早發生退化性關節炎需置換人工關節。所以青少年如果有突發性跛行症狀,家長不容忽視,應儘早診斷,接受專科手術治療,才是避免發生後遺症的不二法門。
(作者:小兒骨科 吳冠彣醫師)
(版權所有---台大醫院骨科部)
-
微創新式半月板破裂治療_2023/02
複製連結
微創新式半月板破裂治療
吳先生是一名30幾歲男性,在國中擔任老師,近半年右膝疼痛,走路時覺得膝蓋卡卡,吳先生擔心自己是不是年輕就退化了,於是去醫院骨科就診,經過一連串仔細問診、理學檢查及影像檢查後,骨科醫師告訴他這不是退化,是半月板破裂,吳先生緊張地問:破裂?那還有辦法治療嗎?
想要知道半月板怎麼治療,首先要了解半月板是什麼。半月板是一種新月形的纖維軟骨組織,在人體膝蓋中扮演了很重要的角色,位置在膝關節內,分為外側和內側半月板,藉由許多韌帶及前後角附著在脛骨平台上,負責緩衝及避震,也能讓膝蓋活動時更加穩定。由於血流供應的構造較特殊,半月板外三分之一的血流供應較佳,稱為紅區,而中央部分血流供應較差,稱為白區,此區若受傷時癒合機會相對較低。
雖然說半月板是新月形,但有少部分(約3~15%)的人有盤狀半月板,顧名思義形狀像圓盤,中央部分因為較厚且沒有像新月形半月板有空間讓股骨活動,容易在青少年時期就因為擠壓破裂而有症狀。
半月板受傷原因主要有因承受過度外力導致創傷或是長時間使用後磨損。當半月板受傷時,常見膝蓋疼痛或僵硬,嚴重時可能會突然卡住或是突然軟腳。醫師經由問診及理學檢查後,視情況開立X光超音波或核磁共振檢查以協助診斷。也可以考慮關節鏡檢查,診斷的同時可以直接做手術治療。
外側半月板盤狀與內側半月板破裂半月板撕裂傷從型態上有許多分類,常見的有水平撕裂,其可能原因是受到剪力而造成的傷害;還有縱向撕裂,撕裂方向跟半月板的邊緣平行,嚴重的個案包含桶柄狀(bucket handle),受傷的半月板卡在關節內而造成活動受限;另外垂直輻射撕裂則是垂直方向從中央部往邊緣延伸,常會讓膝蓋接觸壓力增加;以及基部撕裂,附著處的撕裂,常見於內側半月板基部撕裂,也會讓膝關節最大接觸壓力增加。
治療方式分為保守治療及手術治療。一般半月板受傷時,第一線治療為保守治療包含適當休息、藥物、復健訓練,尤其要注意避免過度增加膝關節壓力的動作,像是長時間蹲下或下樓等。
當保守治療無效時,則要考慮手術治療,手術方式有許多種,最常見是半月板修補手術,骨科醫師會依照患者的半月板破裂狀況及位置來設計不同的縫合方式(例如直接縫合、由內而外、有外而內、全關節內縫合等等),另外視情況搭配經脛骨隧道加強固定或血液纖維凝塊(fibrin clot)附加增強手術,讓半月板除了修補,還可以幫助回復膝蓋生物力學穩定度。半月板修補手術後幾周須限制角度及承重,並依照手術醫師建議慢慢回復活動度及承重,另外加入適當的訓練運動,大部分研究顯示病人在接受手術後幾個月可以回到運動場。


一般手術治療都會盡可能保留患者的半月板,然而當半月板損傷程度太過嚴重以致無法做修補術時,則會考慮部分半月板切除手術。
在醫師清楚仔細解說後,吳先生決定接受關節鏡手術治療,包含關節鏡半月板修補手術及經脛骨隧道加強固定手術和血液纖維凝塊(fibrin clot)附加增強手術,術後規律回診追蹤,隨著關節活動度慢慢增加後搭配肌力訓練,不但膝蓋疼痛大幅改善,還能規律運動,假日去爬山都沒問題呢!
關鍵字:膝疼, 膝蓋卡卡, 半月板, 關節鏡, 半月板修補, 脛骨隧道加強固定手術, 血液纖維凝塊, fibrin clot
(作者:運動醫學科 蔡岳呈醫師)
(版權所有---台大醫院骨科部)
-
漫談「線性骨折」_2023/02
複製連結
漫談「線性骨折」
「線性骨折」到底是「骨裂」還是「骨折」?
「骨折」(fracture)的一般定義是指骨頭的連續性被破壞。X光上看到明顯有移位的骨頭斷裂稱為骨折一般都沒有疑義,但是如果是隱約看到似有若無的裂痕,患者有時候會被告知是「骨裂」或「線性骨折」。一般的想法可能會認為「骨裂」或「線性骨折」比較不嚴重,不算是「骨折」。其實如同前面所述,骨頭的連續性不完整了就是「骨折」,因為要復原就得經過相同的骨癒合過程,有些「骨裂」處理起來甚至比一般的骨折還要難纏。
甚麼樣的骨折常被診斷為「線性骨折」或「骨裂」?
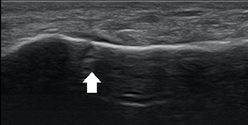
不管是「骨裂」或「線性骨折」都不是正式的醫學名詞,只是被大家用來描述一群X光上比較不明顯的骨折,會大量出現這樣的使用可能是跟肌肉骨骼超音波的進步與普及有關。超音波的檢查對骨頭表面的變化敏感度非常高,X光影像上難以辨識、甚至根本不可能看得到的裂痕,在超音波下往往是無所遁形(圖一)。許多以往必須靠昂貴的電腦斷層甚至磁振造影檢查才能確診的骨折,有了超音波的幫忙可以更快地做出正確的診斷。常見會被診斷為「骨裂」或「線性骨折」損傷包括:
- 沒有移位的創傷性骨折:創傷的能量較小時,骨折可能幾乎沒有移位。也有可能骨折移位後又自動回到正確位置。大部分這類骨折可以用石膏或護具保守治療,但仍需密切追蹤,確認骨折維持並癒合在正確位置。有些這類骨折因為位在受力大的部位,後來發生移位的可能性特別大,例如股骨頸骨折會需要積極做手術固定避免移位;也有些骨折經驗上癒合能力特別差,例如手部的舟狀骨或足部的舟狀骨骨折,也會建議手術提供更好的穩定度來促進癒合。
- 小碎片的骨折:足踝的扭傷有的時候傷的不是韌帶本身而是撕裂了骨頭,小的撕裂性骨折或骨頭邊緣的小碎片在X光影像上常常隱藏在背景複雜的骨骼結構中無法辨識,需要超音波、電腦斷層、或磁振造影檢查才能夠診斷。骨頭碎片很小的時候,通常當作韌帶扭傷治療就可以。但是因為這類骨折通常會有幾公厘的移位,如果碎片比較大一些,即使順利癒合也會造成韌帶鬆弛關節不穩定,所以主要韌帶的撕裂性骨折要考慮手術做精準的復位固定或是切除碎片做韌帶修補。
- 應力性骨折(stress fracture):骨頭反覆受力超過骨質微觀強度與修復機能時,累積的骨小樑或骨單元骨折會延展成巨觀的裂痕,可以說應力性骨折是真正意義上的「骨裂」或「線性骨折」。一開始有症狀時通常是沒有移位的,甚至是不完全的骨折,但是如果沒有正確的治療,也是會有移位或不癒合的問題。應力性骨折常發生在下肢負重的蹠骨、舟狀骨、或跟骨等部位,它的發生可以是正常的骨質受到不正常的使用,例如運動員或部隊行軍,又稱為疲勞性骨折(fatigue fracture);也可以發生在正常的生理負荷但是骨質的強度不足的狀況,例如骨質疏鬆,又叫骨質不全骨折(insufficiency fracture);還有一種特殊的狀況是非典型股骨骨折(atypical femur fracture),可能是與使用雙磷酸鹽類藥物治療骨質疏鬆症造成骨小樑修復功能異常有關。應力性骨折通常也是保守性的治療,透過充分的休息和拐杖護具的使用骨頭就會癒合。但有些患者因為足部變形導致受力不均,會造成反覆骨折或慢性不癒合,就必須長期使用鞋墊輔具改善足部受力,或是要手術加以固定,甚至加做自體骨移植和足部矯正手術才能解決。而非典型股骨骨折一般如果在X光影像上可以看到裂痕而且有大腿疼痛,除了藥物治療以外,也會建議手術固定治療。
懷疑「骨裂」要怎麼處理
「骨裂」或「線性骨折」雖然聽起來不像是很嚴重的問題,但是它的復原都會需要經歷一個骨折癒合的過程,而其中包含了各種不同的狀況,需要專業的骨科醫師仔細評估擬訂適當的治療計畫,也需要患者好好地配合,讓骨折癒合牢固再加上復健訓練才能恢復到最好的功能。本院骨科門診有完整的各專科專業醫師陣容和齊全的影像檢查設備,能夠提供最完善的評估與治療。

圖(A) 65歲女士右足內翻受傷,X光影像僅勉強在第五蹠骨疼痛處看到有疑似裂痕,無法確認。(B) 超音波影像診斷骨折的依據包括:骨頭表面不連續,局部骨膜下血腫,輕壓即有明顯疼痛。
(作者:陳沛裕 醫師)
(版權所有---台大醫院骨科部)
-
髖關節發育不全 – 從新生兒至成人之影響及處理方式簡介_2022/12
複製連結
髖關節發育不全 – 從新生兒至成人之影響及處理方式簡介
簡介
髖關節由凹槽般的髖臼(acetabulum)及大腿骨(股骨,femur)的圓形股骨頭(femoral head)組成,髖發育不全(developmental dysplasia of the hip, DDH),簡單的說可說是前述凹槽部分因各種原因發展不足,凹槽過淺導致股骨頭覆蓋不佳,使髖臼關節面受力面積較小,可能導致關節軟骨退化磨損加速、早期發生退化性髖關節炎、髖關節不穩定影響功能甚至髖關節脫臼等結果,髖關節發育不全發生率約百分之一,更嚴重的先天髖關節脫臼(congenital dislocation of the hip, CDH)約千分之一,屬於常見之狀況,但嚴重度差異很大,有一出生就脫臼的,也有到中老年才發生症狀被診斷的患者。
越嚴重的患者一般會越早期出現症狀。雙側脫臼未發現的會有早期步態異常影響運動功能、髖關節早期退化及疼痛。單側脫臼未發現的會有單側前述症狀外,也會有長短腳之狀況。未脫臼但有髖發育不全的患者,較嚴重的會於青少年時期就出現症狀,一般是運動時或運動後的腹股溝部位或臀部等髖關節週邊疼痛來表現,少部分會以膝蓋內側疼痛表現(髖關節的轉移痛, referred pain),發育不全程度較輕微的可能於成年或中年後才出現症狀。如症狀出現後持續放任不治療,可能導致髖關節炎早期發生及惡化,影響運動功能及日常生活,嚴重時甚至可能需要在相對年輕時就以人工髖關節置換來維持日常生活功能,所幸如有早期診斷,保守治療之效果很好,較晚才診斷出來,依患者年紀也還有多種手術可改善髖關節解剖構造,增加髖關節穩定、改善功能,並有機會延後或避免後續嚴重關節炎。
家族史、女性、懷孕時胎兒為第一胎、臀位、羊水過少及多胞胎等因素有關,為其風險因子。同時具有神經肌肉疾病如腦性麻痺、或具部分特定腫瘤如多發性骨軟骨瘤等患者,其髖關節發展有更多影響因素,不在本篇介紹範圍。在嬰兒時期,雙腳及雙側髖部包覆過緊會增加髖關節發育不全的發生率,所以在包覆安撫嬰兒時,會建議髖部以下要讓小嬰兒可以自由活動。以下之說明提及之年紀為大概範圍,小朋友的出生週數、遺傳體質及身體成熟早晚…等因素均是治療之考量。
出生至四個月
早期並無症狀,是故過往常有較大或至成人甚至中年關節炎嚴重才被診斷的患者,但近年新生兒檢查已納入髖關節理學檢查,如有較明顯之髖關節不穩定有機會早期發現(Barlow, Ortolani tests),此外單側髖關節脫臼之患者會有長短腳(Galeazzi sign),在新生兒四個月大前, 因為骨骼鈣化程度不足,X光檢查之幫助較小,多以超音波協助診斷,在一個月前就做髖部超音波,雖有助於早期診斷髖臼發育不全,但有30%左右的偽陽性率,意思是一個月大前超音波檢查異常的小朋友,部分會自行發展至正常,並不需額外處置,所以這時檢查出疑似有髖發育不全的爸媽不需要太擔心,只要經由適當轉診至小兒科或小兒骨科醫師處做後續追蹤檢查及治療即可,以台大總院為例,如在星月計畫合作診所/醫院發現疑似髖發育不全,可經合作診所/醫院主治醫師開立轉診單至台大醫院或台大兒童醫院。
一般會建議有前述風險因子的小朋友,在4至6週大時做超音波篩檢,在六個月大前有脫臼或嚴重發育不全的小朋友會建議穿戴特製吊帶(Pavlik harness)復位及治療,有機會不經過手術即讓患者得到良好之治療效果,需穿戴吊帶之小朋友,會建議於小兒骨科醫師處追蹤治療效果,萬一治療效果不如預期,早期轉換其它合適治療可減少相關併發症。
四至六個月大
四個月大後開始可用X光來評估,此x光劑量比每人每年接受的背景輻射值低約80-100倍,也比單趟美西飛機低非常多,所以有風險因子或已經有超音波診斷髖發育不全的小朋友使用X光檢查屬相對安全且合理的。此時小兒骨科醫師會評估髖關節的覆蓋、角度、有無脫位或脫臼等,如有脫臼或嚴重脫位,此時仍然可以用吊帶(Pavlik harness)治療。
6個月大至一歲半
如果在這個階段早期才被診斷出來的患者,仍有部分醫師會嘗試吊帶治療,但成功率不高且要小心併發症。一般這個時期如果髖關節仍脫臼無法復位,會考慮在麻醉下將髖關節復位並以石膏固定,並做連續追蹤及替換石膏直到髖關節穩定,但此時患者通常還是會殘留部分髖發育不全之狀況。
一歲左右的小朋友一般會開始嘗試走路,如果髖關節未脫位或脫臼,通常小朋友不會有明顯症狀,如果是嚴重發育不全或脫臼的小朋友,經驗上可能觀察到這些小朋友較晚獨立走路,步態較易不穩或有臀肌無力之步態(Trendelenburg gait),但最終都還是可以行走,推測會有此步態之原因為臀肌需要花費較多力氣才可維持髖關節穩定,才導致有相對臀肌無力之步態,但仍需進一步研究證明。
一歲半至5歲前
在這個階段,輕微發育不全的患者會需要接受追蹤來觀察其變化,但是髖關節仍脫臼、髖嚴重發育不全、或是追蹤過程發現持續惡化的患者會考慮手術矯正,髖關節仍脫臼時,會做開放式手術復位髖關節,必要時做大腿截骨手術來增加髖關節穩定度及同時矯正腳的內外八步態,前述患者及髖發育不全嚴重的會考慮做骨盆或髖臼矯正截骨(Pemberton/Dega/Salter osteotomy)來增加髖臼覆蓋,術後約需石膏一個月,住院期間會教導相關照護。前述骨盆髖臼矯正截骨手術之矯正效果,在患者3-5歲最好,在之後其效果逐漸遞減,跟髖臼之生長中心(triradiate cartilage)逐漸成熟有關。
5-8歲
較輕微髖發育不全之患者仍持續接受追蹤,孩童時期手術矯正之角色逐漸降低,但此時才發現髖脫臼或嚴重發育不全之患者仍會嘗試手術復位及骨盆矯正截骨手術,但年紀越接近8歲越會考慮使用較複雜之三重骨盆矯正截骨手術(triple osteotomy)來改善髖臼覆蓋,過去案例較多,現今篩檢環境已成功使此類案例減少。
8歲或髖臼生長中心成熟後至40-50歲,或髖關節炎I期前 (Tonnis grade I)
輕微髖發育不全患者建議持續接受追蹤至成年,之後等髖部症狀出現時才需要返診追蹤及治療,臀肌之強化訓練可協助維持髖關節穩定。較嚴重發育不全或已出現症狀之患者,於保守治療下症狀仍會持續復發時,及早使用髖臼周邊矯正截骨手術(periacetabular osteotomy, PAO)治療,可延緩髖關節炎的進展,達到保存患者髖關節避免早期置換人工髖關節來維持功能的效果,一定比例之患者可以終身不需再置換人工髖關節。髖臼周邊矯正截骨為成熟且已被長期驗證的手術技術,已成為早期治療青少年及成人髖臼發育不全的首選,由郭耿南教授及王廷明教授領導的台大兒骨團隊(成員包括吳冠彣醫師及李嘉哲醫師)也建立標準化的微創手術步驟,目前完成超過200例領先全台,已成功改善許多患者生活品質及其髖關節的命運,並致力推廣及教學,持續有來自各個友院的研修醫師來本院觀摩學習,或邀請本團隊成員至其他醫院進行示範手術或協助相關手術進行,藉由本次邀稿,希望能分享資訊給更多醫療同仁及病友了解,盼能造福更多患者。
髖關節炎II至III期
已有較嚴重髖關節炎時,PAO延長髖關節使用年限之效果平均較關節炎早期下降,但如果患者仍想做較激烈之運動或有較高功能需求,PAO仍是可以考慮的手術選擇;而人工髖關節置換可良好恢復患者功能及改善疼痛,但患者可能較無法進行劇烈運動或未來有機會需要進行再置換手術等為其考量因素,一般於功能需求較低之患者應為較佳選擇,但此時醫療團隊應與患者詳細討論,以共同決策之方式來選擇合適之治療。
結語
髖關節發育不全是一影響很多人的疾病,其嚴重程度差異大,如能早期診斷較嚴重程度之患者,有較大機會能以保守治療或髖關節保存手術來避免或延緩髖關節炎的進展,改善患者功能及生活品質。
(作者:李嘉哲 醫師)
(版權所有---台大醫院骨科部)
-
大拇指基底關節炎_2022/02
複製連結
大拇指基底關節炎
手部的大拇指腕掌關節(CMCJ)的骨關節炎(OA),又稱為基底關節炎(basal joint arthritis),為一種常見的退化性關節炎,好發於40歲以上之中年族群,以女性患者居多。其主要症狀包括大拇指基部腫脹、疼痛、僵硬及周圍壓痛,大拇指活動度受限,拇指抓握及按壓無力等等,外觀上則常出現基底關節周圍隆起及關節變形。
其發生原因為拇指基底關節處軟骨磨損退化合併周圍韌帶耗損所導致,若局部曾經受過外傷也可能導致退化提早發生。基底關節退化的初期症狀為大拇指局部痠痛無力,難以持續用力抓握,這時期的症狀經過充足休息大多會自行緩解,必要時可佩戴護具或服用消炎藥物輔助。隨著關節退化的進展,基底關節慢慢會開始出現腫脹變形等狀況,關節周圍突出也會越來越明顯,一些日常的活動開始會受到影響,像是綁鞋帶、煮飯、打球、寫字等等。當關節退化進展到後期,關節變形會更為明顯,掌骨基部隨者周遭韌帶持續變弱會不斷往外滑脫,慢慢地拇指上下的其他關節也會受到影響,除了疼痛加劇且更為無力之外,休息時也會出現疼痛的症狀,嚴重時甚至會影響睡眠。
基底關節炎的初期多建議保守治療,包括休息、冰熱敷、護具固定、服用非類固醇類消炎藥物等等。隨著退化較為嚴重,可搭配復健或局部注射。當保守治療無效,則可考慮接受手術治療。常見的手術治療方式包括關節鏡清創、關節融合、大多角骨切除合併韌帶重建或人工韌帶懸吊等等。
對於較年輕的病人,當關節疼痛等症狀持續但軟骨退化尚不明顯時,可考慮接受關節鏡微創手術清除關節內之發炎組織以及骨刺,若韌帶耗損或鬆弛較為嚴重者亦可加以人工韌帶懸吊,增加關節穩定度及握力。
對於關節退化較為嚴重的患者,關節鏡微創手術的效果便較不理想。對於退化嚴重但仍需進行大量抓握負重工作的患者,關節融合手術能提供較好的抓握力量,缺點則是犧牲拇指關節的活動度,術後手掌無法平放於桌面。
目前對於大多數的患者來說,當拇指基底關節退化較為嚴重,保守治療無效且會明顯影響正常生活時,通常會建議進行大多角骨切除手術搭配人工韌帶懸吊。
傳統上來說,接受大多角骨切除手術後由於掌骨懸空,會加以鋼針固定且須石膏固定約六周,之後再於門診回診時取出鋼針並開始復健。手術之後的關節疼痛狀況多會有明顯的改善,但由於固定時間較長,有時會出現拇指僵硬的情況,且因拇指掌骨懸空,後續也常會出現一定程度的下沉,稍微影響握力及活動度。因此,自1980年代起,許多醫師在大多角骨切除手術之外,會再加上韌帶重建手術,取患者自身的健康肌腱在拇指掌骨基部重建韌帶,藉以增加穩定度。但由於需要取自身肌腱,手術傷口及軟組織破壞較大,且仍需較長的固定時間,因此術後所需的復健及復原時間較長。美國史丹佛大學的Jeffrey Yao教授於2010年提出了以縫線鈕扣懸吊(suture button suspensionplasty)的方式來固定掌骨,其功用就有如人工韌帶一般,能將因大多角骨切除後懸空的拇指掌骨懸吊在第二掌骨上,藉以增加關節穩定性,術後不需加上鋼針固定,石膏保護約兩周後便可換上護具開始復健,手術時間短且軟組織破壞較少,對於軟骨退化較不嚴重的病人亦可搭配關節鏡微創手術進行。後續追蹤研究發現此新式手術術後的復原較快,大拇指活動度佳,且病人滿意度高。
手術治療後約三個月內患處不宜劇烈活動、負重或碰撞,復原期使用時需護具保護,且須配合復健治療以盡早恢復大拇指活動度及抓握力量。
術後常見的併發症包括局部皮膚感覺異常、傷口周圍不適及異物感等等,相關症狀多會隨著時間漸漸緩解。少部分患者可能出現傷口感染、植入物鬆脫、骨折、手指僵硬或持續疼痛等症狀,必要時須搭配藥物治療、局部注射、長期復健或再次手術。
若有相關醫療需求,歡迎至本院手外科門診諮詢。
(作者:張允亮 醫師)
(版權所有---台大醫院骨科部)
-
膝蓋半月板損傷_2021/12
複製連結
膝蓋半月板損傷
什麼是半月板
半月板是位於膝關節內的C型纖維軟骨組織,每個膝蓋有兩個半月板,分別為內側半月板及外側半月板,可以穩定膝關節的活動,同時可以避震、緩衝膝關節的壓力且避免軟骨磨損。
半月板的血流供應特殊,由膝中動脈、膝下內動脈、膝下外動脈分別供應半月板後角、內側半月板邊緣20-30%、外側半月板邊緣10-25%,一般認為半月板外1/3的血流供應較多,所以稱為紅區,此區若受傷通常癒合機會較高。中央部分沒有血流供應,營養靠關節液擴散,因此半月板內側1/3被稱為白區。
半月板破裂
半月板破裂是膝蓋損傷中常見的問題,原因可以分為創傷型及退化型:
- 創傷型(traumatic):常見於較年輕族群和運動員,當過度的外力施加在正常的半月板上而造成受傷,例如運動員在激烈運動時需急停、加速或改變方向時扭傷半月板,同時可能合併十字韌帶、內外側韌帶損傷。另外長時間蹲跪或搬重、意外傷害等也可能造成半月板破裂。
- 退化型(degenerative):隨著年紀及使用導致退化及磨損,屬於漸進式損傷,通常沒有明顯創傷。
症狀
半月板破裂時可能會有膝蓋疼痛或腫脹、僵硬等症狀,典型症狀為活動時膝關節突然卡住伸不直,活動時有聲響或是突然軟腳。
何時應該看醫師
當膝蓋有疼痛、腫脹等症狀,或是無法正常活動時應找骨科醫師進一步檢查治療。如果有受傷或是任何疑慮,也建議找骨科醫師諮詢並檢查有無潛在損傷問題。
診斷
骨科醫師會仔細詢問病史及症狀,根據需要執行理學檢查,搭配影像學或關節鏡檢查,最後做出鑑別診斷並加以治療。
理學檢查
一般先從視診開始,觀察膝蓋外觀有無變形、紅腫、瘀青、肌肉緊繃或萎縮、傷口或疤痕等,接著觸診膝蓋有無發熱、觸痛點位置(尤其內外側關節線處)、關節積液,測量下肢關節彎曲角度以及走路步態,骨科醫師有時會另外做特殊理學檢查如McMurray Test、Apley Grind Test、Thessaly Test來協助診斷。
影像
- X光:主要看骨頭有無其他病灶或退化,如果是年輕人單純半月板損傷X光可能為正常。
- 超音波:若半月板損傷時在超音波檢查中可能會看到裂痕或是不正常的半月板型態,也可能合併低迴音囊腫(半月板囊腫)。超音波同時也能檢查是否有膝關節積水、肌腱韌帶損傷等問題。
- 核磁共振:非侵入性影像中最精準且敏感的檢查,可以看到半月板有無撕裂造成水腫或是受傷的殘塊。若是桶柄狀撕裂(bucket handle tear)可能會看到double PCL sign或 double anterior horn sign。另外也可能發現半月板撕裂造成的半月板囊腫。
- 關節鏡:為半月板損傷之黃金診斷方式,骨科醫師在皮膚表面切微小傷口,將關節鏡伸入膝關節內,可以直接檢查半月板損傷的型態與位置,診斷後可以馬上進行手術治療。
治療
保守治療
- 第一線治療(尤其對於退化型),包含休息、藥物、復健治療。急性期則可以將下肢抬高、加壓、冰敷等。
- 復健治療:強調股四頭肌及大腿後肌肌力訓練和拉筋訓練以保護膝關節和維持活動度,另外平衡及本體感覺訓練可以增加下肢穩定度以避免再次受傷。
- 避免過度增加膝蓋壓力,例如蹲、下樓、下坡等。
手術方式
- 半月板修補:傳統的(Inside-out, Outside-in)修補術需要從關節腔內與關節腔外連通,因此會製造更多傷口。新型的半月板縫合器(All inside)可以只在關節腔內作業,無須製造額外傷口。
- (部分)半月板切除:一般手術會盡量保留半月板,但若遇到損傷範圍或程度太嚴重者,骨科醫師評估即使修補後也無法恢復者,會考慮做(部分)切除手術。
- 依照不同的半月板破裂方式以及位置,可搭配不同方式之縫合,直接縫合、由內而外、由外而內、各式縫合型態(H型、8字型、水平、垂直)、經脛骨隧道加強固定等等都是可能的搭配方法。




術後照護- 限制角度及承重
- 接受半月板部分切除術之病人術後應避免過度增加膝蓋壓力之活動。
- 接受修補術的病人術後需限制關節活動並使用拐杖,避免將身體重量施加在患處(患側下肢勿承重或部分承重)。限制細節如下:
Radial tear (裂痕垂直於半月板邊緣)
Horizontal tear (半月板被分成上下兩片)
術後勿承重6週(頂多腳趾輕點地)
關節活動限制90度以內6週
部分承重6-8週
完全承重及積極關節活動8週後
部分承重6週
關節活動限制90度以內6週
完全承重及積極關節活動6週後
- 術後復健運動:
初期復健目標在減少術後發炎腫脹,慢慢增加關節活動度,隨著時間復原慢慢增加運動強度,從簡單單一動作進步到複雜多方向運動,最後階段目標再回到正常生活或運動。術後復健的內容與進度每個病人都不一樣,跟半月板破損種類、嚴重度、手術修補方式、術後恢復等相關,實際情況應依照手術醫師建議進行。
以下詳細說明術後復健運動:術後約1~4週
目標:控制術後疼痛及腫脹,漸漸增加關節活動度及下肢肌力,避免施加過多壓力在患處
- 關節活動:住院中可使用CPM機器幫助膝蓋活動
- 腳跟滑動練習(Heel slide):平躺於床上,兩腳伸直避免髖膝關節旋轉,慢慢將患側腳膝蓋彎起,同時腳跟不離開床面的情況下往臀部靠攏,在可接受的疼痛範圍內或膝蓋達90度時停留30秒,再慢慢伸直,每次做5到10下。
- 大小腿拉筋運動:坐直於床上,雙手各拿毛巾兩端,將毛巾中段置於患側腳腳板後,輕輕拉緊毛巾讓腳板往身體方向,同時腰背輕輕往前靠,感覺腳後側緊緊時停留30秒,再慢慢放鬆,每次做5下,一天三回。注意每次拉緊時停留即可,勿快速來回拉動,容易造成新的傷害。
- 肌力運動:
- 股四頭肌訓練:經醫師評估後可先從關節角度不動的狀態下做肌肉收縮(等長收縮),訓練股四頭肌,每次用力10秒,重複10到20次。期間若有劇烈疼痛則應立即停止並告知醫師。
- 髖部運動:手術側腳打直的狀態下,在床上運用髖部力氣讓腳分別往前、後、左、右四個方向移動,每次維持10秒,重複10到20次。
- 腳踝運動:讓腳踝做往上、下、內、外側活動。
- 核心肌群訓練
- 預後:大部分研究顯示,接受半月板修補手術後的病人約在六個月後可以回到運動場上,但若是較複雜型的損傷則會需要更多時間。因此建議術後仍應持續回骨科門診追蹤。
Reference:
- Rehabilitation for the Postsurgical Orthopedic Patient, 3rd Edition
- Sherman SL, DiPaolo ZJ, Ray TE, Sachs BM, Oladeji LO. Meniscus Injuries: A Review of Rehabilitation and Return to Play. Clin Sports Med. 2020 Jan;39(1):165-183.
- Uptodate: Meniscal injury of the knee
- Orthobullets: Meniscus; Meniscal Injury
- Matsubara H, Okazaki K, Izawa T, Tashiro Y, Matsuda S, Nishimura T, Nakanishi Y, Kawamura H, Iwamoto Y. New suture method for radial tears of the meniscus: biomechanical analysis of cross-suture and double horizontal suture techniques using cyclic load testing. Am J Sports Med. 2012 Feb;40(2):414-8. doi: 10.1177/0363546511424395. Epub 2011 Oct 19. PMID: 22016457.
- Atsumi S, Hara K, Arai Y, Yamada M, Mizoshiri N, Kamitani A, Kubo T. A novel arthroscopic all-inside suture technique using the Fast-Fix 360 system for repairing horizontal meniscal tears in young athletes: 3 case reports. Medicine (Baltimore). 2018 Feb;97(7):e9888. doi: 10.1097/MD.0000000000009888. PMID: 29443758; PMCID: PMC5839842.
- Bhatia S, Civitarese DM, Turnbull TL, LaPrade CM, Nitri M, Wijdicks CA, LaPrade RF. A Novel Repair Method for Radial Tears of the Medial Meniscus: Biomechanical Comparison of Transtibial 2-Tunnel and Double Horizontal Mattress Suture Techniques Under Cyclic Loading. Am J Sports Med. 2016 Mar;44(3):639-45. doi: 10.1177/0363546515615565. Epub 2015 Dec 8. PMID: 26646516.
- Sanada T, Iwaso H, Honda E, Yoshitomi H, Inagawa M. All-Inside Repair for Radial Tear at the Posterior Horn of the Lateral Meniscus: A Figure-8 Suture Technique. Arthrosc Tech. 2021 Jul 20;10(8):e1973-e1977. doi: 10.1016/j.eats.2021.04.021. PMID: 34401242; PMCID: PMC8355411.
- Feucht MJ, Izadpanah K, Lacheta L, Südkamp NP, Imhoff AB, Forkel P. Arthroscopic transtibial pullout repair for posterior meniscus root tears. Oper Orthop Traumatol. 2019 Jun;31(3):248-260. English. doi: 10.1007/s00064-018-0574-4. Epub 2018 Oct 26. PMID: 30367186.
- LaPrade CM, LaPrade MD, Turnbull TL, Wijdicks CA, LaPrade RF. Biomechanical evaluation of the transtibial pull-out technique for posterior medial meniscal root repairs using 1 and 2 transtibial bone tunnels. Am J Sports Med. 2015 Apr;43(4):899-904. doi: 10.1177/0363546514563278. Epub 2015 Jan 8. PMID: 25573393.
- Lee SS, Ahn JH, Kim JH, Kyung BS, Wang JH. Evaluation of Healing After Medial Meniscal Root Repair Using Second-Look Arthroscopy, Clinical, and Radiological Criteria. Am J Sports Med. 2018 Sep;46(11):2661-2668. doi: 10.1177/0363546518788064. Epub 2018 Aug 17. PMID: 30118319.
- Alentorn-Geli E, Choi JH, Stuart JJ, Toth AP, Garrett WE, Taylor DC, Moorman CT 3rd. Inside-Out or Outside-In Suturing Should Not Be Considered the Standard Repair Method for Radial Tears of the Midbody of the Lateral Meniscus: A Systematic Review and Meta-Analysis of Biomechanical Studies. J Knee Surg. 2016 Oct;29(7):604-612. doi: 10.1055/s-0035-1570113. Epub 2015 Dec 30. PMID: 26716639.
- Kamimura T, Kimura M. Meniscal Repair of Degenerative Horizontal Cleavage Tears Using Fibrin Clots: Clinical and Arthroscopic Outcomes in 10 Cases. Orthop J Sports Med. 2014 Nov 10;2(11):2325967114555678. doi: 10.1177/2325967114555678. PMID: 26535282; PMCID: PMC4555553.
- Pache S, Aman ZS, Kennedy M, Nakama GY, Moatshe G, Ziegler C, LaPrade RF. Meniscal Root Tears: Current Concepts Review. Arch Bone Jt Surg. 2018 Jul;6(4):250-259. PMID: 30175171; PMCID: PMC6110430.
- Matsubara H, Okazaki K, Izawa T, Tashiro Y, Matsuda S, Nishimura T, Nakanishi Y, Kawamura H, Iwamoto Y. New suture method for radial tears of the meniscus: biomechanical analysis of cross-suture and double horizontal suture techniques using cyclic load testing. Am J Sports Med. 2012 Feb;40(2):414-8. doi: 10.1177/0363546511424395. Epub 2011 Oct 19. PMID: 22016457.
- Dean CS, Chahla J, Matheny LM, Mitchell JJ, LaPrade RF. Outcomes After Biologically Augmented Isolated Meniscal Repair With Marrow Venting Are Comparable With Those After Meniscal Repair With Concomitant Anterior Cruciate Ligament Reconstruction. Am J Sports Med. 2017 May;45(6):1341-1348. doi: 10.1177/0363546516686968. Epub 2017 Feb 1. PMID: 28298056.
(作者:運動醫學科 蔡岳呈醫師 王至弘教授)
(版權所有---台大醫院骨科部)
-
前十字韌帶斷裂,何時需要手術?_2022/02
複製連結
前十字韌帶斷裂嚴重嗎?會不會自行癒合?
前十字韌帶提供膝關節前後位移及旋轉的穩定,是很重要的構造。前十字韌帶損傷是很常見的膝關節傷害,可由任何加諸於膝蓋的不適當外力造成,例如運動傷害、車禍、摔倒時膝關節扭傷都可能造成前十字韌帶斷裂。研究顯示,前十字韌帶斷裂約有一半的病患需要接受手術治療,以減少膝關節不穩定的症狀。相較於其他韌帶,前十字韌帶的細胞癒合能力較差,且膝關節內的環境不利於韌帶細胞癒合,因此,十字韌帶重建手術仍是目前手術治療的標準做法。相信有不少患者在罹患前十字韌帶斷裂後,猶豫要不要接受手術或何時接受手術。本文將根據目前的研究證據,幫助病患做出醫療決定。
前十字韌帶斷裂的影響
膝關節內除了十字韌帶外,還有半月軟骨、關節軟骨等重要結構;膝關節外也包覆著許多大小韌帶、肌腱,大家各司其職,共同維護膝關節的穩定。當前十字韌帶受傷後,膝關節變得不穩定,造成膝關節內外的這些重要構造需要負擔更多原本不須承受的力量,經過一段時間後,有些結構(例如半月軟骨或關節軟骨)可能因此受損斷裂,有些韌帶可能變得更鬆弛,這些對膝關節都有不好的影響。研究指出,針對需要接受前十字韌帶重建的病患,若是在超過受傷後半年才接受手術,手術時膝關節因其他結構損傷會變得更加鬆弛(可能進一步影響重建結果,即使重建後也無法回復膝關節穩定),內側半月軟骨撕裂可修復的比例也會顯著降低(因磨損得太嚴重造成無法修補,只能做部分切除手術);若是超過一年,關節軟骨或內側半月軟骨受損的比例會顯著增加。不論是被切除(無法修補)的半月軟骨或關節軟骨損傷,都是難以治癒的狀況,非常有可能進一步造成膝關節疼痛,或加速膝關節退化的時程。因此,針對適合手術的病患施以即時的治療是非常重要的。
哪些病患需要接受手術?
哪些前十字韌帶斷裂的病患需要接受重建手術目前尚未有明確定論,一般而言,需接受手術的相對適應症包含年紀較輕、運動需求較大、合併關節症狀的移位性半月軟骨損傷、或膝關節持續有不穩定症狀。選擇非手術治療可藉由復健增強膝關節周邊的肌肉力量來達到膝關節穩定的結果,但目前研究顯示,原本選擇接受非手術復健治療的病患,約有一半的病患最後因膝關節持續不穩定的症狀仍然需要接受重建手術。研究顯示,這一半復健後仍需要延遲手術的病患相較於其他病患的膝關節功能回復時間較久,原因可能是部分病患在復健階段延遲手術的時間過長。綜合以上,沒有相對適應症的病患,對是否接受前十字韌帶重建仍有所疑慮,在接受三至六個月的復健治療後,若是膝關節仍有不穩定的症狀,應考慮接受前十字韌帶重建手術,以避免受傷過久造成膝關節內其他不可復原的相關損傷,也可避免拖長膝關節功能恢復的時程。
(作者:曾子豪醫師/王至弘主任)
(版權所有---台大醫院骨科部)
-
醫病共享決策於老年衰弱下背痛
複製連結
醫病共享決策於老年衰弱下背痛
前言
在老人衰弱症與骨質疏鬆(osteoporosis)和肌肉缺少症(sarcopenia)均相關,年齡老化造成活動力降低,使肌肉萎縮和骨質流失,增加骨折的風險,甚至在沒有脊椎骨折的情況下也引起軸向後凸畸形(kyphotic deformity)。總體來看,老年衰弱引起的下背痛可能是由於脊椎骨畸形(degenerative kyphosis),關節失衡(joint imbalance)和肌肉結構緊張(muscular tension)所致,透過醫病溝通,病患可自由表達自身對治療選項的偏好、期待目標及價值觀,最後透過藥理學、物理治療以及外科手術來尋找最合適解決慢性下背痛的方案。
醫病共享輔助工具(patient decision aid, PDA)
SDM溝通模式跳脫以往由醫師決定的單向模式,以病人為中心的導向建立緊密的醫病關係,透過醫病共享輔助工具(patient decision aid, PDA)來闡述可能的治療方式,可增加病患的遵從性及治療效果。
治療選項介紹
復健介入計畫包含物理運動(physical exercise)和物理治療(physical therapy)。
物理運動(Physical exercise)
物理運動可分成運動治療(有氧運動、阻力運動、柔軟度及平衡功能訓練)及適應技巧訓練(移位、洗澡上廁所等生活自理訓練)。物理運動的目的不僅是保留或增加骨量,許多物理運動,例如瑜伽和皮拉提斯,可以改善身體功能並減輕脊椎的慢性疼痛(1)。
物理治療(Physical therapy)
物理治療(physical therapy)可分儀器治療及輔具支架。
物理治療,例如使用磁場和振動訓練來治療患者,低頻PEMF(脈衝電磁場)可快速有效地緩解疼痛(2)。振動訓練可通過增加肌肉強度,神經肌肉協調性和平衡性並減少跌倒的風險來改善身體健康,但必須以較低的振動頻率開始,在整個治療過程中逐漸增加頻率(3)。
藥物治療(Pharmacological therapy)
對於輕度疼痛(VAS≤3)的患者,建議使用NSAID或acetaminophen;對於中度疼痛(VAS 4-6)的患者,建議使用弱鴉片類藥物(codeinea or tramadol)或NSAID或acetaminophen輔助治療;對於劇烈疼痛(VAS>6)的患者應使用鴉片類藥物和NSAID或acetaminophen。已有脊椎骨折的患者應考慮骨質疏鬆藥物和止痛藥的結合,若急性劇烈疼痛(VAS>6),應該考慮適當的手術療程以盡快恢復生活機能。
維生素D補充(Vitamin D supplement)
維生素D會刺激成骨細胞活性;增加飲食中腸道對鈣的吸收,控制鈣的代謝和甲狀旁腺激素的活性;改善近端肌肉功能且改善骨骼健康、降低骨折風險,從而減少疼痛(4)。持續性疼痛與維生素D相關的骨骼脫礦(demineralization)、肌病(myopathy)和肌肉骨骼(musculoskeletal)疼痛有關。維生素D也會影響與皮質、免疫、激素和神經元變化有關的疼痛途徑(5)。
骨質疏鬆藥物
骨質疏鬆藥物共分為抑制骨折流失及促進骨頭生長兩大類,抑制骨折流失藥物包含denosumab, bisphosphonate及calcitonin等常見用藥,促進骨頭生長藥物以teriparatide為主。
侵入性治療(Invasive treatment)
當老年衰弱引起的下背痛在物理及藥物治療失敗後仍劇烈疼痛(VAS>6)的病患,增生療法(prolotherapy)是一種有益於肌肉筋膜疼痛的侵入性治療。
大多數患有骨質疏鬆性脊椎壓縮性骨折的患者無症狀,最初很少有功能限制。 但仍有患者在適當的保守治療後出現持續症狀造成失能(disabling)或劇烈疼痛(VAS>6),可以通過適當的臨床檢查和MRI證實診斷,骨質疏鬆症的藥物治療對於預防骨質疏鬆性脊椎骨折的後遺症至關重要,經皮椎體成形術(Percutaneous vertebroplasty)通常用於治療由於保守治療失敗的脊椎骨骨折病患,對於大於60歲的嚴重背痛合併衰弱症患者,其疼痛和功能方面效果優於保守治療(6)。少數患者若已經有嚴重脊椎畸形(deformity)且合併嚴重臨床症狀,包含嚴重背痛、下肢無力甚至大小便失禁時,必須搭配適當神經減壓及脊椎矯正手術(deformity correction)來達到平衡的型態(balanced sagittal alignment)。
輔助病患決策步驟
步驟一: 治療方式的比較
保守治療
侵入性治療
優點
無侵入性
效力強,恢復快
缺點
- 效果較不減著,疼痛時間長
- 活動力下降易引起多合併症(如:肺炎、褥瘡、泌尿道感染、心肺功能下降…等)
- 止痛藥物副作用:消化道出血及肝腎功能受損
- 具侵入性
- 需承受手術風險及併發症(如:感染、神經血管受損…等)
- 需承受局部或全身麻醉風險
疼痛程度
VAS < 5分可考慮
VAS > 5分可考慮
步驟二: 病患對治療方式選擇的考量因素
非常不重要
不重要
普通
重要
非常重要
日常生活功能
疼痛控制效果
風險及併發症
醫療費用
其他
步驟三: 測試病患是否清楚治療方式選擇?
步驟四: 與病患及家屬做治療方式選擇
1. 是否已清楚治療選項是否偏向保守或積極治療若無法決定,是否需要其他協助?
2. 是否偏向保守或積極治療
3. 若無法決定,是否需要其他協助?
結語
老年衰弱引起的下背痛造成因素複雜且需要多方了解病患的需求,醫病共享決策模式SDM已逐漸受到重視並成為老人醫療照護的標準模式之一,應用越來越廣泛,在使用白話文和相對應的溝通方式,利用醫病共享輔助工具PDA加強理解,將能做出最符合病患需要的醫療決策。
聲明
本文無任何利益衝突
Reference
1. Angın E, Erden Z, Can F. The effects of clinical pilates exercises on bone mineral density, physical performance and quality of life of women with postmenopausal osteoporosis. Journal of back and musculoskeletal rehabilitation. 2015;28(4):849-58.
2. Bonaiuti D, Arioli G, Diana G, Franchignoni F, Giustini A, Monticone M, et al. SIMFER Rehabilitation treatment guidelines in postmenopausal and senile osteoporosis. Europa medicophysica. 2005;41(4):315-37.
3. Ruan XY, Jin FY, Liu YL, Peng ZL, Sun YG. Effects of vibration therapy on bone mineral density in postmenopausal women with osteoporosis. Chinese medical journal. 2008;121(13):1155-8.
4. Lappe JM, Davies KM, Travers-Gustafson D, Heaney RP. Vitamin D status in a rural postmenopausal female population. Journal of the American College of Nutrition. 2006;25(5):395-402.
5. Plotnikoff GA, Quigley JM. Prevalence of severe hypovitaminosis D in patients with persistent, nonspecific musculoskeletal pain. Mayo Clinic proceedings. 2003;78(12):1463-70.
6. Macías-Hernández SI, Chávez-Arias DD, Miranda-Duarte A, Coronado-Zarco R, Diez-García MP. Percutaneous Vertebroplasty Versus Conservative Treatment and Rehabilitation in Women with Vertebral Fractures due to Osteoporosis: A Prospective Comparative Study. Revista de investigacion clinica; organo del Hospital de Enfermedades de la Nutricion. 2015;67(2):98-103.
(作者:陳宣佑醫師, 楊榮森教授)
(版權所有---台大醫院骨科部)
-
脊椎狹窄症_背痛 腳麻 走不遠_2021/08
複製連結
腰椎狹窄症- 背痛、腳麻、走不遠
甚麼是腰椎狹窄症?
隨著年紀漸長,椎間盤慢慢退化,維持脊椎穩定及吸收衝擊的能力降低,因此許多的力量必須經由脊柱其他的構造來吸收,如黃韌帶跟小面關節。長久下來,為了應付龐大的功能需求,這些構造肥厚增生,長出俗稱的〝骨刺〞,再加上退化的椎間盤向後膨出,侵占了脊椎中留給神經的空間,造成腰狹窄症,壓迫神經。(如下圖)

腰椎狹窄症的危險因子
腰椎狹窄症是脊椎退化所造成的,所以年齡是最重要的因素。
- 腰椎狹窄症多發生於60歲以上。
- 若結構上有先天性脊椎狹窄,則可能提早於30~50歲發生症狀。
- 創傷病史、腫瘤等
腰椎狹窄症的症狀
腰椎狹窄症初期症狀可能不明顯,但隨著神經壓迫的程度增加,症狀會慢慢惡化。一般來說,常見的症狀如下:
- 下背痛:結構退化產生下背痛,有一部分的人可能下背痛不明顯。
- 坐骨神經痛:從臀部一路往下傳到小腿甚至腳部的疼痛和痠麻。
- 麻或感覺異常:通常發生在小腿或腳部。
- 跛行:持續站立或行走時產生下背到腿部的疼痛與無力,當身體前傾或坐下時症狀即改善。
- 排便排尿障礙:發生的機率很低。嚴重的神經壓迫會造成排便排尿障礙,須立即就醫處理。
腰椎狹窄症的診斷
- 病史:下背痛、坐骨神經痛、間歇性跛行等典型症狀
- 身體檢查:包含脊椎結構、下肢肌力檢查、以及感覺測試。
- X光檢查:了解脊椎退化的情形、是否有骨刺生成、是否有結構異常或動態不穩定的問題。
- 核磁共振檢查(MRI):若症狀持續,尤其是神經壓迫的症狀(坐骨神經痛、腿痛、腳麻、跛行),可能需要接受核磁共振檢查(MRI),確定腰椎狹窄與神經壓迫的程度。
腰椎狹窄症的治療

可以先接受保守療法,包括:
- 休息:症狀嚴重的時候,先適度休息,配合藥物,待症狀緩解之後再逐步恢復活動。
- 改變生活習慣:行走或活動時採取〝少量多餐〞的策略,避免長時間持續活動。
- 藥物:主要是消炎藥、止痛藥、及肌肉鬆弛劑。
- 復健治療:透過熱療及徒手治療使肌肉放鬆,配合伸展運動及核心肌群訓練增加柔軟度及肌肉力量。
若經過至少六週的保守治療後症狀仍持續,可以考慮接受手術治療。
手術治療的目的為解除神經壓迫及補強脊椎結構的穩定度。手術主要為減壓手術,視脊椎結構的狀況決定是否需要合併融合手術
- 減壓手術:切除部分椎板、移除增生的骨刺,減輕神經壓迫。以微創手術或內視鏡手術進行減壓可以減少脊椎結構的破壞,術後恢復較快,且降低後續需再接受融合手術的機會。
- 脊椎融合手術:若需大範圍減壓、脊椎結構不穩定或有變形等狀況,除減壓手術外需加上融合手術。手術會切除椎間盤並於脊椎間填補骨頭及置入支架,加上鋼釘固定。
若您有相關醫療需求,歡迎至台大骨科部脊椎科楊曙華教授、胡名孝醫師、陳志偉醫師、及黃全敬醫師門診諮詢。
參考文獻
- Schroeder GD, Kurd MF, Vaccaro AR. Lumbar Spinal Stenosis: How Is It Classified? J Am Acad Orthop Surg. 2016 Dec;24(12):843-852.
- Lurie J, Tomkins-Lane C. Management of lumbar spinal stenosis. BMJ. 2016 Jan 4;352:h6234.
- Zaina F, Tomkins-Lane C, Carragee E, Negrini S. Surgical Versus Nonsurgical Treatment for Lumbar Spinal Stenosis. Spine (Phila Pa 1976). 2016 Jul 15;41(14):E857-E868.
- Aldahshory AR, Mashaly H, El Molla ST et al. Comparative Study of Minimally Invasive Lumbar Decompression versus Decompressive Laminectomy with Posterolateral Transpedicular Fixation for the Treatment of Degenerative Lumbar Canal Stenosis. Asian J Neurosurg. 2020 May 29;15(2):293-301.
- Kim JE, Choi DJ, Park EJJ, Lee HJ, Hwang JH, Kim MC, Oh JS. Biportal Endoscopic Spinal Surgery for Lumbar Spinal Stenosis. Asian Spine J. 2019 Apr;13(2):334-342.
- Lee CH, Choi M, Ryu DS, Choi I, Kim CH, Kim HS, Sohn MJ. Efficacy and Safety of Full-endoscopic Decompression via Interlaminar Approach for Central or Lateral Recess Spinal Stenosis of the Lumbar Spine: A Meta-analysis. Spine (Phila Pa 1976). 2018 Dec 15;43(24):1756-1764.
*註. Icons made by Freepik from www.flaticon.com
(作者:黃全敬 醫師)
(版權所有---台大醫院骨科部)
-
坐骨神經痛 該不會是「椎間盤突出症」吧_2021/08
複製連結
坐骨神經痛! 該不會是「椎間盤突出症」吧?
下背痛是很常見的問題,而椎間盤突出症是造成下背痛的原因之一。除了下背痛之外,一路痛到腳的〝坐骨神經痛〞亦是典型症狀之一,以下就讓我們來一探究竟。
什麼是椎間盤?
人體的脊柱是由一節一節的脊椎骨排列而成,包含7節頸椎、12節胸椎、5節腰椎、薦椎及尾椎。椎間盤是脊椎骨間的特化組織,柔軟卻又有彈性與韌性,要在穩固跟活動度間取得平衡,有賴椎間盤的特殊構造。
椎間盤是由內部的髓核以及外層的纖維環所組成(如下圖)。髓核含有蛋白多醣,可以保存水分,呈現柔軟的膠體,同時亦富有彈性;因此當人體在活動時,髓核讓脊椎骨間有一定的活動度,同時,也可以吸收傳遞而來的衝擊力。外層的纖維環是由緊密環狀排列的膠原纖維所組成,主要的功能是提供脊椎骨間的穩定度,同時將髓核限制在椎間盤的中央,保持結構的完整性。

椎間盤突出症是如何發生的?
隨著年紀漸長,椎間盤的構造發生變化,內部髓核的含水量降低、膠原纖維的組成改變、組織強度下降;同時,生活中姿勢不良或頻繁出力持續累積組織創傷,最終髓核向外推擠,或甚至破出纖維環,造成神經壓迫。(如下圖)

椎間盤突出症的危險因子
了解椎間盤的結構與椎間盤突出發生的原因後,就比較容易理解哪些人較可能發生椎間盤突出症:
- 男性:尤其介於20~50歲之間。
- 體重較重:增加椎間盤的負擔。
- 搬重物時姿勢不良:搬重物時應保值背部平直,利用腳及臀部的肌肉,減少椎間盤的負擔。
- 粗重工作:累積較多組織傷害。
- 缺少運動:脊椎周圍的肌肉及韌帶缺少力量與彈性,使椎間盤受力較大。
- 吸菸:造成氧氣供應下降,加速椎間盤的退化。
椎間盤突出症的症狀
當椎間盤突出時,結構的破損與椎間盤髓核物質引起局部發炎反應,造成下背疼痛;另外,突出的椎間盤造成腰椎神經根壓迫,產生坐骨神經痛。一般來說,常見的症狀如下:
- 下背痛
- 坐骨神經痛:從臀部一路往下傳到小腿甚至腳部的疼痛。
- 麻或感覺異常:通常發生在小腿或腳部。
- 腿部無力
- 排便排尿障礙:發生的機率很低。嚴重的神經壓迫會造成排便排尿障礙,須立即就醫處理。
椎間盤突出症的診斷
椎間盤突出症經由問診及詳細的身體檢查,包含直抬腿試驗(straight leg raising test, SLRT)、下肢肌力檢查、以及感覺測試,可獲得臨床診斷。
影像學檢查包括X光檢查,以排除脊椎結構異常或動態不穩定的問題。若症狀持續,尤其是神經壓迫的症狀(坐骨神經痛、腿痛、腳麻、無力),可能需要接受核磁共振檢查(MRI),確定椎間盤突出的位置與神經壓迫的程度,評估是否需要進一步處置。
椎間盤突出症的治療

大部分椎間盤突出所造成的症狀在保守治療下有機會在數週內慢慢改善,而保守治療包括:
- 休息:在頭兩三天內症狀比較嚴重時,可以臥床休息。當比較改善後,可以從事輕度的活動。
- 改變生活習慣:動作放慢,暫時避免彎腰或搬重物。避免久坐,一段時間可以起身稍事走動。
- 藥物:主要是消炎藥、止痛藥、及肌肉鬆弛劑。
- 復健治療:透過熱療使肌肉放鬆;特定復健動作可以強化肌肉力量,增加柔軟度。
若保守治療六到八週無效,症狀仍持續,可以考慮接受介入性治療或手術治療:
- 介入性治療:局部類固醇注射或許可暫時改善症狀,但無明顯長期效應,亦無法降低須接受手術的機率。
- 手術治療:主要是神經減壓及椎間盤切除手術。手術方式包括一般椎間盤切除術、內視鏡輔助椎間盤切除術、以及經皮內視鏡椎間盤切除術。手術方式需視身體狀況、病灶位置與嚴重程度綜合考量。
若您有相關醫療需求,歡迎至台大骨科部脊椎科楊曙華教授、胡名孝醫師、陳志偉醫師、及黃全敬醫師門診諮詢。
參考文獻
- Kerr D, Zhao W, Lurie JD. What Are Long-term Predictors of Outcomes for Lumbar Disc Herniation? A Randomized and Observational Study. Clin Orthop Relat Res. 2015 Jun;473(6):1920-30.
- Amin RM, Andrade NS, Neuman BJ. Lumbar Disc Herniation. Curr Rev Musculoskelet Med. 2017 Dec;10(4):507-516.
- Kadow T, Sowa G, Vo N, Kang JD. Molecular basis of intervertebral disc degeneration and herniations: what are the important translational questions? Clin Orthop Relat Res. 2015 Jun;473(6):1903-12.
- Bhatia A, Flamer D, Shah PS, Cohen SP. Transforaminal Epidural Steroid Injections for Treating Lumbosacral Radicular Pain from Herniated Intervertebral Discs: A Systematic Review and Meta-Analysis. Anesth Analg. 2016 Mar;122(3):857-70.
- Jacobs WC, Arts MP, van Tulder MW, Rubinstein SM, van Middelkoop M, Ostelo RW, Verhagen AP, Koes BW, Peul WC. Surgical techniques for sciatica due to herniated disc, a systematic review. Eur Spine J. 2012 Nov;21(11):2232-51.
*註. Icons made by Freepik from www.flaticon.com
(作者:黃全敬 醫師)
(版權所有---台大醫院骨科部)
-
老人隱形殺手~髖部骨折_2021/07
複製連結
自民國100年至今,我國的十大死因皆為同樣的十種原因,因此,這十種病因也是民眾最有警戒心的疾病;然而這些死因中,卻沒有本文的主題:「髖部骨折」這一項,相較於癌症、心血管疾病、糖尿病等十大死因的疾病,骨折似乎相對較單純,為什麼髖部骨折會被稱為老人的隱形殺手呢?
根據台大醫院發表的研究顯示,台灣罹患髖部骨折的老年病患短期(一年內)死亡率為12%,長期(一至五年)死亡率為25%,死亡風險皆為未骨折病患的2-3倍。髖部骨折造成的死亡並不是骨折直接造成,老年病患在髖部骨折後可能因長期臥床或行動力減弱導致呼吸道感染、泌尿道感染、褥瘡等併發症,而老年人的抵抗力較差,這些疾病容易進展成致死的肺炎、敗血症等疾病,雖然直接的死因不是髖部骨折,也不會被列入死因的統計,但是髖部骨折正是隱藏在後面的真正殺手!
髖關節是連接軀幹及下肢的重要關節,雖老年病患的麻醉風險較高,除了特殊情況外,髖部骨折的病患仍然建議要接受手術,以減少病患臥床的比例,降低後續併發症的機率。即使病患逃過死亡危機,仍有近四成的病患無法恢復受傷前獨力行走的能力,近八成的病患喪失部分日常生活的行動能力,對病患的影響非常大。因此,若能提早預防髖部骨折的發生,勢必能大幅增加老年病患的生活品質。
老年病患髖部骨折大部分都是於平地滑倒或跌倒造成,而骨質疏鬆症正是低能量受傷卻能造成如此嚴重後果的原因。相較於高血壓、糖尿病這些十大死因清楚列出的疾病,國人對骨質疏鬆症的警戒心較為不足,甚至許多人不知道骨質疏鬆症如同其他疾病,是有藥物可以治療的。大約三分之一的台灣婦女及五分之一的台灣男性在一生中會發生一次骨質疏鬆症骨折(包含脊椎體、髖部或腕部之骨折),風險非常高;研究卻顯示,大於50歲的台灣人,每千人僅有不到百人接受骨質疏鬆正式檢查。目前中華民國骨質疏鬆症學會建議65 歲以上的婦女或 70 歲以上男性接受正式的骨密度檢查,有風險因子的患者則需要更早接受檢查。建議年老病患必須到相關門診評估骨密度、相關風險因子及未來骨折風險,與醫師討論是否需要接受骨質疏鬆症的治療。研究顯示,治療需一年以上(最好持續三年以上)才能真正達到減少骨折風險的效果,且接受治療後不應在未跟醫師討論的狀況下隨便停藥,以避免骨量快速流失。
除了藥物治療外,適當的鈣質及維生素D補充也很重要,美國骨質疏鬆症基金會(NOF)和國際骨質疏鬆症基金會(IOF)建議,50 歲 以上成人每日至少需攝取飲食鈣量 1200 毫克(包括鈣片補充劑量)和維生素D 800 至 1000 國際單位(international units, IU),可由市面販售的鈣片補充,或食用富含鈣質的食物如豆類、深綠色蔬菜、芝麻、金針、海藻、海帶、香菇、小魚干、頭髮菜、堅果類等。
除了保密(保持骨密度)外,「防跌」也是很重要的課題,年老者規律的運動可增強肌力、改善平衡功能,減少跌倒的機會。適合年長者維持肌力的運動包括快步行走、太極拳、球拍類運動、游泳、做體操等,但一定要選擇適合自己能力的運動強度及時間,以避免其他疾病的惡化,例如退化性關節炎、肩部旋轉肌斷裂等問題。另外還要減少個人跌倒的環境風險,例如住家安裝扶手、走道照明設備及防跌設施;有肌力減退的情形則應使用適當的輔具幫助行動;若服用其他慢性病的長期用藥有頭暈的情形,應跟醫師充分討論,調整藥物。
由以上可知髖部骨折絕對是年長者的隱形殺手,要避開這位殺手必須多管齊下,養成良好的生活及運動習慣,避免跌倒,適當的治療骨質疏鬆症是不可或缺的,期待看過這篇文章的長輩們能更重視自己的骨骼健康,一起跟髖部骨折說「不」!
(作者:曾子豪 醫師)
(版權所有---台大醫院骨科部)
-
脆弱型骨盆骨折_2021/04
複製連結
摘要:
脆弱型骨盆骨折(fragility fracture of the pelvis)與髖部骨折有相似的一年內死亡率、發生併發症比率及高的功能退化比例,但其獲得的關注較為不足,X光影像表現也常較為隱晦,有晚期診斷或忽略診斷之可能,常見症狀為腹股溝、骨盆或髂薦關節周邊疼痛,致臥床或移動轉位困難,無顯影劑之骨盆電腦斷層可協助診斷,經初步及每5-7天反覆之骨折穩定度評估,適當止痛後仍無法早期移動者、或骨折型態屬於不穩定者,以微創為原則之手術治療可幫助患者早期活動,減少相關併發症及失能。這類患者之骨質密度檢查也常是骨質疏鬆或骨量不足狀態,但本國健保給付規定並未直接涵蓋骨盆骨折,後續骨鬆治療的涵蓋度可能因患者經濟考量而較為不足。副甲狀腺素製劑有報告可以加速脆弱型骨盆骨折癒合,但仍需更多證據支持其常規使用。
世界各已開發國家脆弱型骨盆骨折的發生率都有增加或高發生率的報告,例如芬蘭自1970年至1997年發生率從73/十萬人每年增加到364/十萬人每年,美國自1993至2010發生率上升了24%,德國2008-2011的每年發生率為每年每十萬人224次,男女比約1:3,同族群一年內死亡率約21%[1, 2],發生率的增加可部分歸因於社會的人口高齡化及診斷技術的進步,而研究結果亦顯示了脆弱型骨盆骨折有與髖部骨折類似的高發生率和高的一年內死亡率。
脆弱型骨盆骨折和其他脆弱型骨折一樣有低能量的致傷機轉,甚至有時無法偵測到患者的受傷病史。一旦發生,患者經常有嚴重之骨盆周邊、腹股溝周邊及髂薦關節周邊疼痛,導致活動困難、翻身轉位不易或者只能臥床之狀態。如其骨折為不穩定之型態或者患者需要數周甚至更久之時間才能增加活動,其併發症風險會上升,並伴隨高的功能退化比例,若只有保守治療,有報告指出骨盆骨折前77%患者有自主生活能力,但在經過非手術治療且平均追蹤34個月後,20%患者死亡,剩餘患者中66%患者喪失自主生活能力,全然保守治療的結果是差的,另也發現有高的共病症比率、高的骨鬆診斷率、高比例有過去骨折病史、低的血中維他命D濃度及低的骨鬆治療比率[3]。另一方面雖然有許多報告顯示手術治療可促進早期活動、減少併發症及死亡率,但也有少數文獻顯示有無手術不影響生活品質或中長期功能之報告,目前並無大型隨機分派試驗,有對照組的報告也僅為少數[4],且骨盆骨折型態多樣,手術方式選擇亦多,選擇可接受麻醉手術患者也存在一定地選擇偏誤,仍需進一步研究才能像髖部骨折一樣支持廣泛地手術治療。順帶一提的是,老人的髖臼(acetabular)骨折雖然也是發生在骨盆處,但其為關節內骨折,骨科治療準則與關節外的骨盆骨折不同,現英國正在進行大規模的隨機分派試驗(AceFIT)比較早期手術復位固定、早期手術復位固定合併人工關節置換以及早期非手術治療之治療效果。
在懷疑患者有脆弱型骨盆骨折時,平面x光可照Pelvis AP, inlet及outlet view,必要時可安排電腦斷層檢查及3D重組[5]。因骨盆構造較為複雜,骨盆環狀穩定構造中,骨折時經常不只有一處骨折,於恥骨(pubis)附近的骨折是較易偵測的,但常有不明顯的骨折藏在薦椎翼(sacral ala)或髂骨(ilium),特別是患者活動會伴隨有薦髂關節後側或臀部疼痛時更要懷疑。
治療脆弱型骨盆骨折患者需要許多專科知識及團隊合作,因為除骨鬆評估及骨盆骨折外,患者也常有許多共病症和不同的骨折前生活型態。在骨折發生後,足夠且安全的止痛、控制內科疾病及身體條件盡量最佳化是必須的,可由熟悉骨盆骨折治療的骨科醫師藉由理學檢查及影像評估骨折型態是否穩定,若屬於穩定的骨折型態,患者可先嘗試保守治療,適當止痛後可照會物理治療師協助患者早期活動,但建議初期每5-7天評估一次,無法早期活動者或者骨折位移增加轉變為不穩定型態者需考慮手術治療。如果初期的骨折即屬於不穩定型態者更需要積極考慮手術治療,患者身體狀況能接受麻醉是提供手術治療的前提,手術盡量遵循微創原則,目的在提供骨折穩定度並加速恢復,促進患者早期活動[2, 5]。
不論有無手術治療,如果患者有骨質疏鬆或骨量不足之狀況,有隨機分派試驗及其他小型研究顯示使用副甲狀腺素製劑治療可同時促進骨折癒合[6, 7]。雖然這些患者可能高達75%有骨質疏鬆[3],我國健保制度並未將脆弱型骨盆骨折納入健保給付範圍,致使部分患者治療費用負擔上升,可能降低其骨鬆治療的普及率,考量我國社會快速高齡化及其他先進國家的發生率,可能反而導致後續醫療支出增加,需後續之成本-效益分析進一步研究。
以下分享三個案例,分享保守治療及手術治療的過程(臨床影像分享獲患者或家屬同意)。
案例一: 88歲女性一周前跌倒後右腹股溝及右髖疼痛,勉強能轉位至輪椅,過去病史有心衰竭、肝硬化及失智,初次x光檢查骨折並不明顯,如圖一。
圖一: 骨折處不明顯,正面照白色箭頭所指處與對側相比隱約可見一處骨折。隔週複診疼痛略改善,電腦斷層顯示至少有兩處骨折(圖二、三),骨密度檢測顯示骨質疏鬆,抽血檢查及過去病史無禁忌症,討論後持續保守治療及使用teriparatide,並提醒注意有無疼痛突然加劇致嚴重影響活動之狀況。
圖二、三: 白色圓圈處標出至少有兩處骨折。跌倒8週後影像顯示骨折持續位移,並於下恥骨枝出現一處新的位移性骨折(圖四)。但患者症狀改善,經物理治療師指導可持拐杖行走。
圖四: 箭頭顯示持續位移之骨折,圓圈標出新位移骨折處。跌倒近三個月後,影像顯示骨痂(callus)形成,骨折接近癒合或已癒合(圖五),患者不需拐杖可獨自行走,此時改以抗骨吸收藥物持續治療骨鬆。但電訪家屬得知患者不幸於骨折五個月後因其他身體因素死亡。
圖五案例二: 94歲女性,長期抽菸(家人雖持續阻止)且有慢性阻塞性肺病及骨質疏鬆(未治療),兩週前跌倒後即因左側腹股溝及左臀嚴重疼痛,多數時間均臥床難以下床活動,來求診時其骨折型態經評估為不穩定型(圖六),但有機會以微創手術穩定骨折來促進早期活動,避免失能,建議患者及家屬考慮接受麻醉評估決定患者是否能接受麻醉及手術治療,但家屬以年紀太大為由選擇先以非手術治療。
圖六: 由左至右分別是Pelvis AP view, inlet view, outlet view,顯示左側骨盆有移位之不穩定型骨折。
患者於骨折一個月後仍持續有嚴重疼痛及維持臥床狀態,於返診時同意接受麻醉評估,安排之電腦斷層(圖七)亦顯示左側骨盆骨折為不穩定型骨折(脆弱型骨盆骨折分型第三型)[5],經術前評估後安排手術,手術時間約一小時,隔日有短暫譫妄,之後恢復良好,術後X光影像如圖八,術後照會物理治療師協助復健及轉位訓練,第五天可坐起維持一小時,當天家人協助轉位至輪椅影像如圖九。因等待PAC計畫接手醫院之床位,於術後第十天出院。後續將於門診討論骨鬆治療。

圖七: 案例二電腦斷層3D重組影像。

圖八: 由左至右為術後之AP, inlet, outlet view。
圖九: 患者術後第五天轉位至輪椅之影像。案例三: 71歲女性,無過去病史,某日早晨起床發現翻身或嘗試坐起時,雙側臀部和左側腹股溝附近都會有嚴重的疼痛,無法下床活動,患者前一晚還能行走。過去三個月曾有兩次跌倒,但除輕微臀部及腹股溝疼痛外未影響日常生活。初始於友院住院檢查,一週後轉診至本院急診,X光顯示左側恥骨聯合附近骨折及左側半邊骨盆內旋移位(圖十)。他院電腦斷層顯示雙側薦椎翼(sacral alae)、第二節薦椎骨折及左側恥骨骨折,骨盆後側之骨折型態為H型脊椎骨盆分離(H-shaped spinopelvic dissociation,圖十一)。
圖十
圖十一: 友院3D電腦斷層重組影響顯示雙側薦椎翼、左側恥骨骨折(箭號)及橫向之第二節薦椎骨折(圓圈),發生於薦椎之骨折為H型脊椎骨盆分離。
經討論後選擇雙側髂薦螺釘(iliosacral screw)及骨盆前方皮下內固定(Anterior subcutaneous pelvic internal fixation),術後X光如圖十二,患者出院後由家人接往高雄照顧,當時有請託高醫陳崇桓教授治療患者及復健,患者恢復良好,特此致謝!患者於術後半年返回北部,患者對於可住回4樓之公寓住家感到十分開心,返診時行走之影像如圖十三。後因患者對於皮下內固定持續有刺激感,判斷骨癒合後行前側內固定物移除手術,骨釘移除手術當天可下床行走,目前於門診持續追縱並已接受第二年之骨鬆治療。

圖十二: 由左至右為術後骨盆之AP, inlet及outlet view。
圖十三: 術後半年患者於診間行走之影像結語:
脆弱型骨盆骨折有與髖部骨折類似的一年內死亡率、高的併發症及失能比例,早期活動可減少失能及相關併發症,需要時可照會或轉介熟悉骨盆骨折治療之骨科醫師協助評估患者是否適合以手術治療促進早期活動。
Author contact Info: 017604@ntuh.gov.tw
Reference:
1. Andrich, S., et al., Excess Mortality After Pelvic Fractures Among Older People. J Bone Miner Res, 2017. 32(9): p. 1789-1801.
2. Oberkircher, L., et al., Osteoporotic Pelvic Fractures. Dtsch Arztebl Int, 2018. 115(5): p. 70-80.
3. Maier, G.S., et al., Risk factors for pelvic insufficiency fractures and outcome after conservative therapy. Arch Gerontol Geriatr, 2016. 67: p. 80-5.
4. Booth, A., et al., Effectiveness of surgical fixation for lateral compression type one (LC-1) fragility fractures of the pelvis: a systematic review. BMJ Open, 2019. 9(5): p. e024737.
5. Rommens, P.M., D. Wagner, and A. Hofmann, Fragility Fractures of the Pelvis. JBJS Rev, 2017. 5(3).
6. Peichl, P., et al., Parathyroid hormone 1-84 accelerates fracture-healing in pubic bones of elderly osteoporotic women. J Bone Joint Surg Am, 2011. 93(17): p. 1583-7.
7. Suhm, N., et al., Low acceptance of osteoanabolic therapy with parathyroid hormone in patients with fragility fracture of the pelvis in routine clinical practice: a retrospective observational cohort study. Arch Orthop Trauma Surg, 2020. 140(3): p. 321-329.
(作者:骨科部主治醫師 李嘉哲, 曾子豪, 博紹懷, 楊榮森 )
(版權所有---台大醫院骨科部)
備註: 本文編修版本刊登於2020年4月骨質疏鬆症學會會刊
-
兒童常見良性骨腫瘤簡介_2021/04
複製連結
兒童骨腫瘤種類眾多且表現多樣化,有完全無症狀的、有會持續造成疼痛的、有的會導致病理性骨折、也有些惡性腫瘤會持續侵犯周邊組織甚至轉移導致生命可能受影響的,多數良性骨腫瘤可於兒童骨科或腫瘤骨科醫師手中得到良好處置,但部分具侵襲性的良性腫瘤及惡性骨腫瘤則需要多專科專家的通力合作,以下簡介一些兒童常見的良性骨腫瘤。
單純骨囊腫(Simple bone cyst)
多數都在20歲前發生,4-10歲機率最高,整體男女比約2比1,好發於骨頭的幹骺端(metaphysis),常見於肱骨(上臂)及股骨(大腿),發生於其他部位較少見。靠近生長板(epiphyseal plate)的病灶較活化,可能持續長大,此腫瘤隨著時間會漸漸往骨幹(diaphysis)端移動(如圖一)且越來越不活化,成年後單純骨囊腫就不再增長了。

圖一 圖二
會發現有單純骨囊腫,多數是因為其他原因照了X光而意外發現,此時大多觀察即可。年紀越小、患部位於下肢承重處及皮質骨厚度…等因素因為攸關後續病理性骨折之可能性,為決定手術治療的考量因素。
患者一來就以病理性骨折表現的,因為有許多文獻發現已經造成病理性骨折的單純骨囊腫如圖二箭頭所指,該囊腫自然復原機會小於5%,後續仍有再次病理性骨折之可能,對於已發生病理性骨折的患者我們傾向積極治療,但治療時需注意與其他腫瘤區分,如動脈瘤性骨囊腫(aneurysmal bone cyst)、巨大細胞瘤(giant cell tumor)或屬於惡性的微血管擴張型骨肉瘤(telangiectatic osteosarcoma)等,因此在處理時要儘量減少手術足跡並仔細做鑑別診斷。
骨軟骨瘤(Osteochondroma)
最常見的良性骨腫瘤,可以單獨存在,稱為Solitary osteochondroma,也有遺傳相關多發性的,稱為遺傳多發骨軟骨瘤(Hereditary multiple exostosis),為體遺傳顯性,遺傳穿透率約96%,幾乎都會在12歲前出現骨軟骨瘤。
骨軟骨瘤好發於靠近生長板的幹骺端(metaphysis),突出骨頭生長。圖三是一遺傳多發骨軟骨瘤患者的下肢X光影像,可見有許多突出骨頭生長的骨軟骨瘤(白色箭頭)。骨軟骨瘤通常隨孩童成長發育而逐漸長大,青春期後其大小就趨於穩定。骨軟骨瘤有其好發位置,以遺傳多發骨軟骨瘤為例,在遠端股骨、近端脛骨或腓骨有腫瘤的比例高達94%,依好發比例接下來依次為肱骨、肩胛骨及肋骨、橈尺骨、近端股骨、指骨、遠端脛骨及腓骨。
圖三骨軟骨瘤多數為良性,有些許惡性化為軟骨肉瘤之可能,遺傳多發骨軟骨瘤中約1-2%會惡性化,單獨骨軟骨瘤機率更低。骨盆及肩部附近的腫瘤有較高的機率惡性化。骨軟骨瘤表面有厚度不一的軟骨層,在厚度超過1公分時要懷疑有惡性化之可能。成年後腫瘤再次增大、軟骨層變厚或造成新的症狀時要小心注意是否有惡性變化,必要時須手術處理。
骨軟骨瘤於兒童青少年時期腫瘤就惡性化之比例極低,但有影響生長造成肢體變形、長短腳或功能缺損之可能,是故需規則於而兒童骨科醫師門診追蹤,多數僅需觀察,但出現影響日常生活之疼痛、骨骼生長變形嚴重或功能缺損時需考慮手術切除導致症狀之腫瘤並考慮矯正肢體,現今已有許多技術如生長導引、骨延長等微創技術,以及嚴重時才使用的矯正截骨手術,可讓患者於小時候就得到肢體的良好矯正,避免嚴重的功能缺損。下圖四為利用生長導引矯正X型腿的例子。
圖四圖五左為生長快速位於左肩胛骨之骨軟骨瘤,已經導致小朋友之左肩無法內收,並須考慮惡性腫瘤之可能,所以於兒童時期就施以手術切除,如圖五右圖。
圖五未骨化性纖維瘤(Nonossifying fibroma)
通常是因為其他原因照了X光而意外發現,生長於幹骺端(metaphysis)皮質骨內緣,多數不會造成症狀並會於成年後就自行骨化,在孩童成長期間,有些長得較大的未骨化性纖維瘤會造成疼痛或病理性骨折,或者是無法與其他腫瘤區分,有這些情況時才會考慮手術治療。
骨樣骨瘤(Osteoid osteoma) / 骨母細胞瘤(osteoblastoma)
這兩種腫瘤很像,但大小不太一樣,它們通常為單獨存在於皮質骨的良性腫瘤,一般會有病巢(nidus)在病灶中心釋放發炎物質造成疼痛,通常夜晚疼痛會加劇,非類固醇消炎藥可以良好緩解症狀。骨樣骨瘤的病巢通常小於2公分,而骨母細胞瘤的病巢會大於兩公分,甚至可長到10公分。
骨樣骨瘤好發於下肢,一般會自然復原,如果患者願意持續接受止痛藥控制症狀,於成長發育過程中骨樣骨瘤的病巢常會自然鈣化,症狀自然緩解而不需手術或射頻治療,若症狀無法緩解或不願意長期吃藥的患者需考慮介入治療。
骨母細胞瘤雖然病理特徵類似骨樣骨瘤,但會長得較大,較好發於脊椎,有時會侵犯周邊組織,偶爾會造成肢體變形,症狀較不易控制,經常需要手術治療,但須小心與低惡性度的骨肉瘤或動脈瘤樣的骨囊腫區分,圖六是一骨母細胞瘤(箭頭所指)造成患側肢體過長及變形的例子。
圖六 可見患側下肢較長併有膝外翻圖七為兒童骨科腫瘤團隊做腫瘤刮除、骨移植外,同時做生長抑制拉近雙腳長度(圖七中央),並於後續分次拔釘而有生長導引之效果,矯正患側脛骨關節面傾斜造成的膝外翻,最右側為最終矯正完成拔釘後之影像。
圖七總結
兒童骨腫瘤種類繁多,礙於篇幅僅簡介部分最常見的良性骨腫瘤,仍有許多種良性骨腫瘤未被提及。另外,發生於骨骼的惡性腫瘤及相對應的處理更為複雜,通常需多專科通力合作,也並未於本文說明,如有疑慮,可諮詢或經轉診至腫瘤骨科或兒童骨科的門診,以得到進一步的診察及處置。
關鍵字:兒童骨科, 腫瘤骨科, 良性骨腫瘤, 兒童骨腫瘤, 骨腫瘤, 骨囊腫, 骨肉瘤
(作者:李嘉哲 醫師)
(版權所有---台大醫院骨科部)
[註] 本文之編修版本同時刊登於2021年4月台大醫院健康電子報
